Wir möchten noch einmal daran erinnern, dass mit der Anmeldung der Hunde zu den Ausstellungen die klinische Untersuchung einzureichen ist, spätestens jedoch mit dem zweiten Meldeschluss am 25. April 2026. Die Formulare findet Ihr hier:
![]() |
Gern möchten wir Euch an
- das Helfertreffen für die WUSB am 11.04.26, ab 14 Uhr und
- die JHV am 12.04., ab 09:30 Uhr
im Kloster Wöltingerode erinnern. Es gibt viel zu besprechen und Informationen auszutauschen.
Wir freuen uns auf zahlreiches Erscheinen.
Johann Wolfgang von Goethe zelebriert mit diesem Gedicht die Freude am Frühling und an der Natur.
Ostern steht für Neubeginn und frische Energie, warme Sonnenstrahlen auf der Haut und im Herzen sowie glückliche Feiertage mit bunten Frühlingsblumen und natürlich Euren Bernhardinern - genau das wünschen wir Euch! Lasst uns gemeinsam in eine erfolgreiche und erlebnisreiche Saison starten.
Frohe Ostern und herzliche Grüße vom gesamten Vorstand!
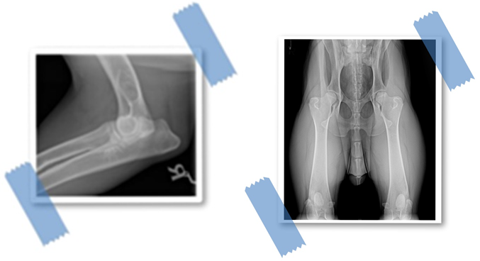
Immer wieder lesen und hören wir in den sozialen Medien wenig differenzierte Aussagen über die Rasse Bernhardiner.
Der St. Bernhards-Klub e.V. möchte die Gelegenheit nutzen, über die in unserem Verantwortungsbereich gezüchteten Bernhardiner mit belegbaren Daten und Fakten zu berichten und aufzuklären.
In unserer dritten Folge wollen wir uns mit der Hüftgelenks- und Ellenbogendysplasie (HD, ED)beschäftigen.
Erneut stehen wir vor der Aufgabe, den Tätigkeitsbereich der Redaktion neu zu besetzen.
Aufgrund beruflicher Anforderungen kann unsere aktuelle Redaktion ihre Aufgabe nicht so erfüllen, wie sie es sich vorgestellt und geplant hatte und bat deshalb, nach einem/r Nachfolger/in zu suchen. Anja Gebler wird selbstverständlich die Redaktion noch weiter betreuen, bis die Nachfolge geregelt ist.
Die Tätigkeitsbeschreibung für die Redaktion, auf die wir an dieser Stelle gern noch einmal verweisen, könnt Ihr im Heft 02/2025 nachlesen. Wer sich angesprochen fühlt und entsprechende Zeitreserven zur Verfügung hat meldet sich gern bei
Die Vorbereitungen für unsere diesjährige WUSB- und Jubiläumsschau vom 23.-24. Mai 2026 in Wöltingerode laufen auf Hochtouren. Viel Arbeit liegt noch vor uns! Umso mehr freut es uns, dass wir so großartige Unterstützung bekommen von unserem Sponsor European Pet Pharmacy. Wir werden großzügig bedacht! Ein großes Dankeschön an das European Pet Pharmacy -Team!
European Pet Pharmacy ist der führende Anbieter von Nahrungsergänzungsmitteln für Hund ein Nord-Europa. Das Unternehmen bietet in Schweden hergestellte Produkte von höchster Qualität, die in einer für die Humanproduktion zugelassenen Fabrik gefertigt werden. Die Produkte basieren auf sorgfältig ausgewählten, natürlichen Inhaltsstoffen, deren Ziel eine optimale Wirkung und Verträglichkeit ist.
Näheres findet ihr unter: European Pet Pharmacy – Der Gesundheitsexperte für Hunde oder Facebook







